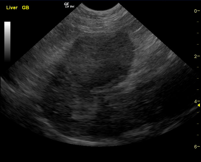
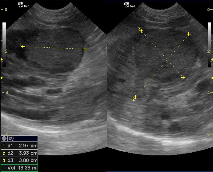
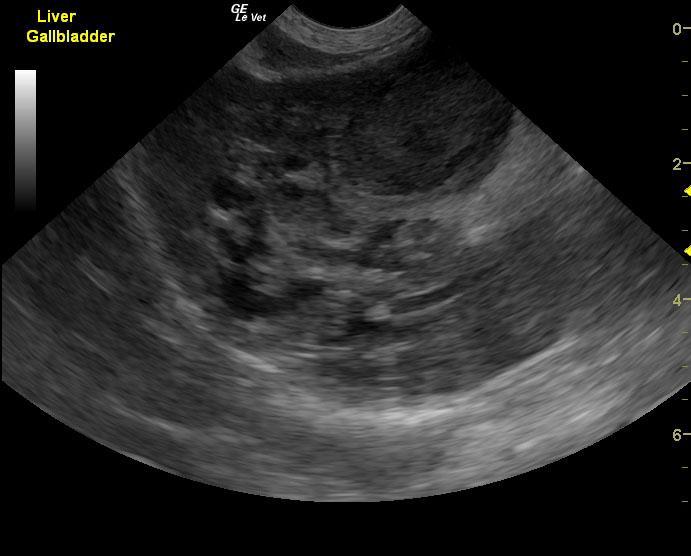
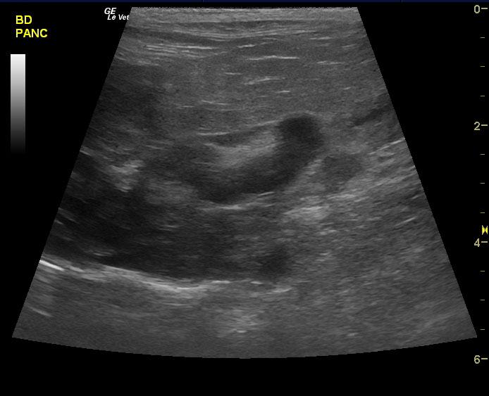
A 10-year-old, SF DSH cat was presented for acute onset vomiting and dehydration. Abnormalities on physical examination were icterus and dehydration. Pyuria with low urine SG was present on urinalysis. Urine culture was negative for bacterial growth after 24hrs. CBC and serum biochemistry showed marked leukocytosis with left shift and azotemia. Diffuse intestinal ileus was evident on survey radiographs.
A 10-year-old, SF DSH cat was presented for acute onset vomiting and dehydration. Abnormalities on physical examination were icterus and dehydration. Pyuria with low urine SG was present on urinalysis. Urine culture was negative for bacterial growth after 24hrs. CBC and serum biochemistry showed marked leukocytosis with left shift and azotemia. Diffuse intestinal ileus was evident on survey radiographs.





