06_00254 Jack T Bilateral renomegaly, cystic calculi

History

A 13-year-old NM DSH was presented for evaluation of weight loss, anorexia for 2-3 days, and a few episodes of vomiting. Abnormalities on physical examination were pale mucus membranes and right nephromegaly. Abnormalities on CBC and serum biochemistry were anemia, neutrophilia, azotemia, and hyperphosphatemia.

 

Clinical Differential Diagnosis

Obstructive uropathy (lith, neoplasia), pyelonephritis, hydronephrosis, renal abscess, renolith

DX

Bilateral renomegaly, cystic calculi

Sampling

None

Sonographic Differential Diagnosis

Bilateral parenchymal renomegaly. Pyelonephritis pattern. There is a strong potential for emerging renal lymphoma. Bladder calculi. Mesenteric lymphadenopathy. Reactive lymph node versus potential lymphoma.

Image Interpretation

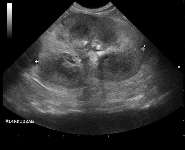
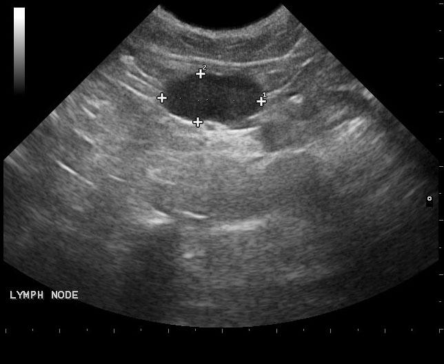
The left kidney was enlarged and measured 5.4 cm with pyelectasia and ill defined fat. Decreased corticomedullary definition was noted with focal capsular expansion at the caudal pole. The right kidney was also moderately to severely enlarged with corticomedullary and pelvic calculi. Loss of corticomedullary detail was noted. Minor subcapsular halo formation was noted with periserosal inflammation. The urinary bladder presented multiple small calculi measuring 0.1-0.3 cm. Mesenteric lymph nodes were enlarged and measured 1.5 cm and 1.8 cm. These lymph nodes were significantly hypoechoic, yet architecture was not distorted at this point. Hyperechoic reactive fat was noted.

Outcome

None

Video

Patient Information

Age : 13 Years
Gender : Male, Neutered
Species : Feline
Status : Complete

Blood Chemistry

  • Azotemia
  • Phosphorus, High

CBC

  • Neutrophils, High
  • RBC, Low

Clinical Signs

  • Anorexia
  • Vomiting
  • Weight loss

Exam Finding

  • Large Kidneys
  • Pale Mucous Membranes

Images

jack_thomson_20150505101031_1035540jack_thomson_20150505101031_1107370jack_thomson_20150505101031_1012460jack_thomson_20150505101031_1126570

Skip to content