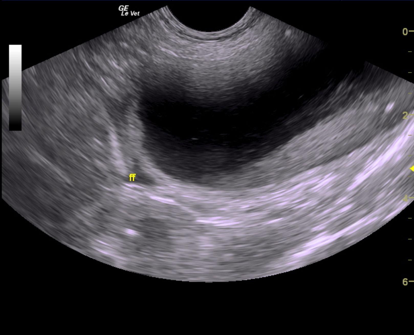
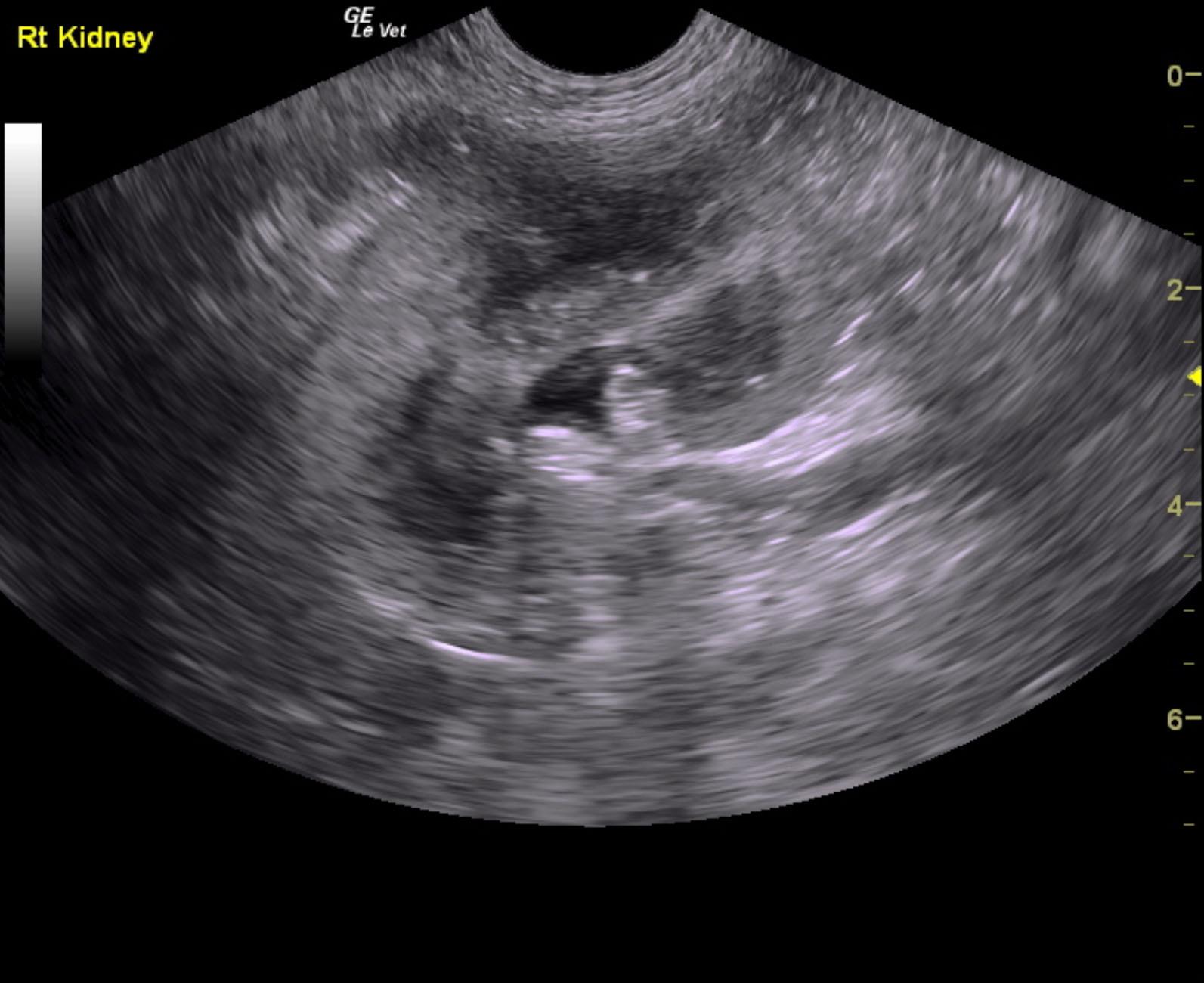
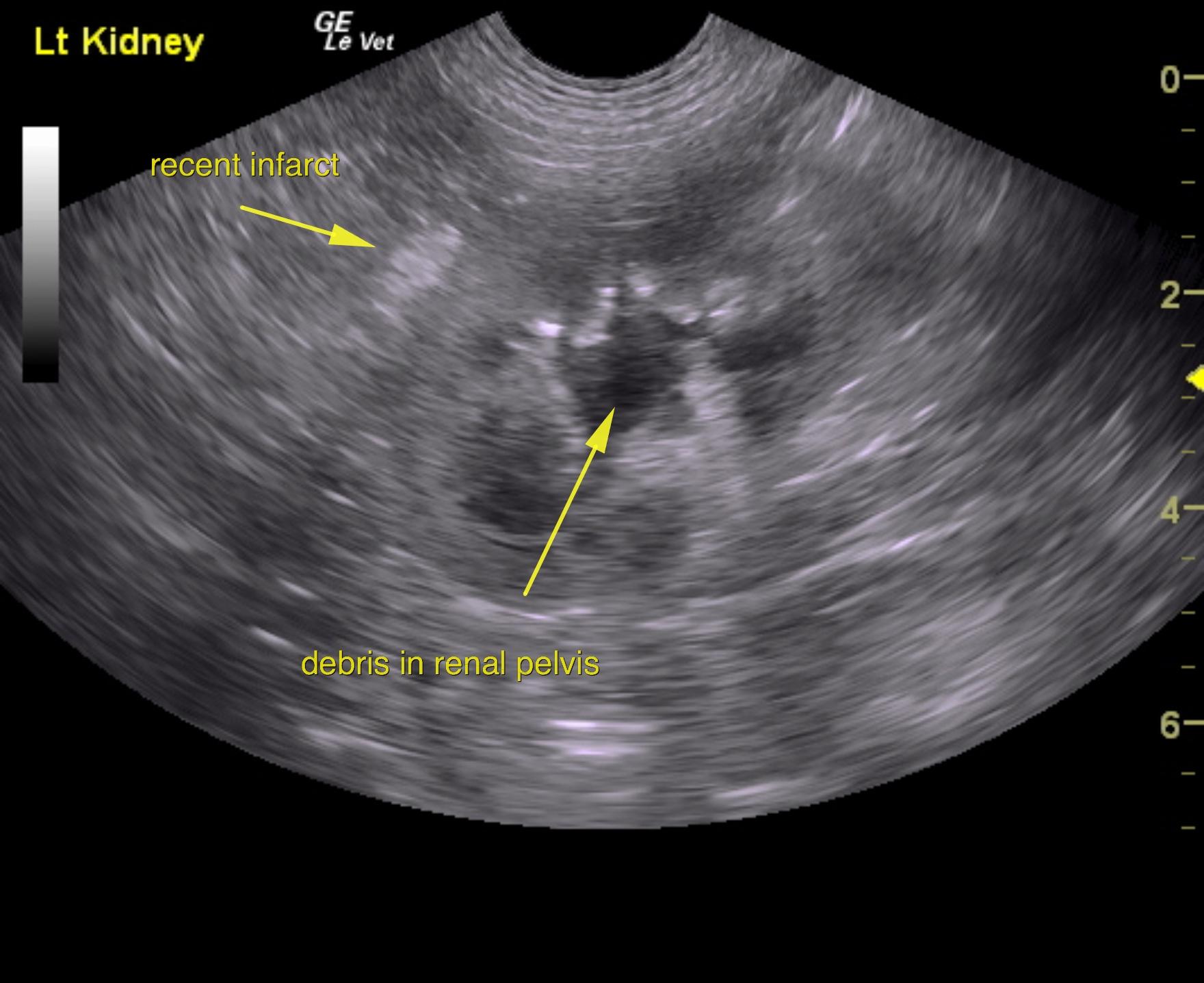
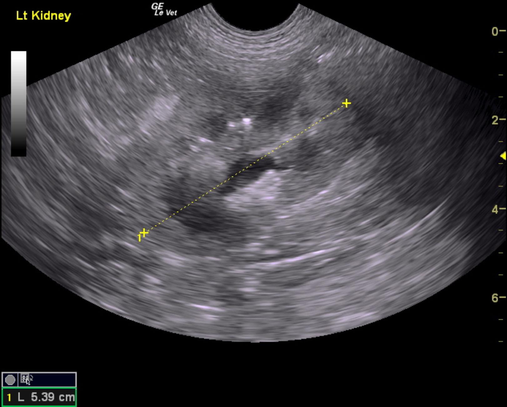
A 5-years-old male neutered Shih Tzu was presented for evaluation of urethral obstruction that had been managed with catheterization. Urinalysis showed SG of 1.008 and proteinuria. Abnormalities on CBC and serum biochemistry were neutrophilia and monocytosis, elevated phosphorus, and azotemia; the latter had improved after being catheterized.







