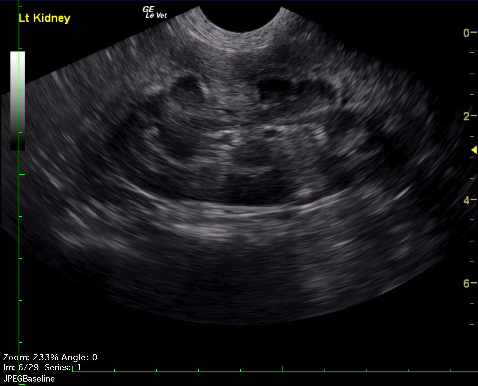
A 1-year-old NM German shepherd with a history of PU/PD and hypercalcemia was presented for evaluation of lethargy, weight loss, and anorexia. Left-sided nephromegaly was present on survey radiographs. Abnormalities on serum biochemistry were hypercalcemia, azotemia, and mildly elevated ALT activity.



