Bilateral ureteral obstruction with mild bilateral hydronephrosis in a 10 year old MN Lhasa Apso

History

This 10-year-old NM Lhasa Apso was presented for evaluation of vomiting and lethargy. Urine specific gravity was 1.030 and azotemia was present on serum biochemistry.

This 10-year-old NM Lhasa Apso was presented for evaluation of vomiting and lethargy. Urine specific gravity was 1.030 and azotemia was present on serum biochemistry.

Clinical Differential Diagnosis

Renal – chronic kidney disease, acute kidney injury, pyelonephritis, obstructive uropathy, renoliths, nephritis; Addison’s disease

DX

Bilateral ureteral obstruction with mild bilateral hydronephrosis.

Image Interpretation

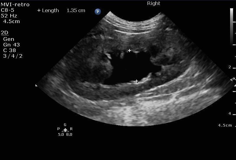
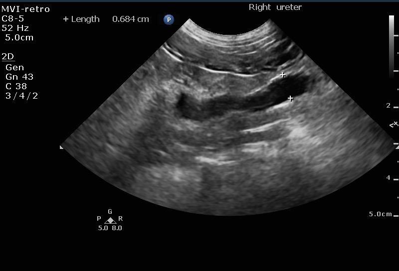
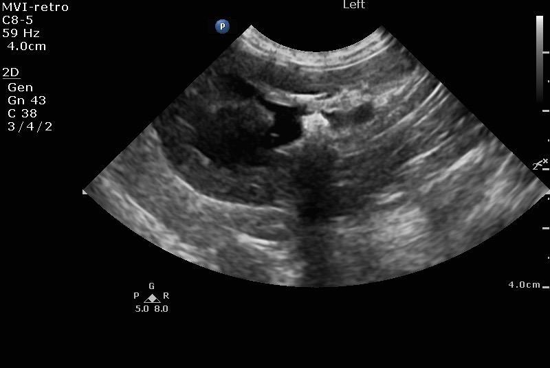
Mild pyelectasia was noted in the left kidney at 4.62 cm and pyelectasia is at 1.01 cm. The left kidney presented a slight amount of perinephric free fluid suggestive for inflammation. Right kidney presented moderate pyelectasia 1.35 cm with obstructed proximal ureter calculus 0.5 cm. Right kidney measured 5.36 cm.

The urinary bladder and trigone presented normal wall thicknesses with anechoic urine and normal tone. Pelvic urethra was imaged 3 cm beyond the cystourethral junction. No uroliths or sediment were visualized. No evidence of inflammatory or neoplastic changes were noted. Left ureter in this patient presented 0.7 cm calculus and a separate 0.25 cm calculus obstructive the left ureter midway between the kidney and the bladder.

Outcome

Two approaches are valid in this patient. Either ureteral stent placements or surgical
intervention. The calculi within the ureters are too large to pass into the bladder on
their own; therefore either bilateral ureterotomy may be necessary or potentially milking
the calculi back into the renal pelvic would be an option dependent upon surgical
opinion on this case or interventional radiology with ureteral bypass is also a
possibility.

Video

Patient Information

Patient Name : Reggie Byrket/Planet Pet/SM
Age : 10 Years
Gender : Male, Neutered
Species : Canine
Liz Wuz Here : Yes
Status : Complete
Code : 06_00366

Blood Chemistry

  • Azotemia

Clinical Signs

  • Lethargy
  • Vomiting

Images

062316_rb_planetpet_byrket_20160623_123627_0026062316_rb_planetpet_byrket_20160623_123627_0028062316_rb_planetpet_byrket_20160623_123627_0031

Skip to content