Bladder mass in a 13 year old MN DSH cat with blood clots in urine

History

A 13-year-old neutered male DSH cat was presented for blood clots in urine. Physical examination and CBC were both within normal limits. Abnormalities on urinalysis included isosthenuria, proteinuria, and 4+ hematuria. On blood chemistry, elevated CPK, hyperamylasemia, hyperlipasemia, elevated total protein, and moderate azotemia were evident. T-4 was within normal range.

A 13-year-old neutered male DSH cat was presented for blood clots in urine. Physical examination and CBC were both within normal limits. Abnormalities on urinalysis included isosthenuria, proteinuria, and 4+ hematuria. On blood chemistry, elevated CPK, hyperamylasemia, hyperlipasemia, elevated total protein, and moderate azotemia were evident. T-4 was within normal range.

Comments

The patient was eventually humanely euthanized.

Clinical Differential Diagnosis

Renal pathology – neoplasia, chronic pyelonephritis, renolith, hydonephrosis, chronic renal disease. Bladder pathology – neoplasia, urolith, cystitis. Urethral pathology – neoplasia, granulomatous urethritis.

DX

Bladder mass

Sampling

Surgical intervention or potential stent placement in the right ureter when obstruction occurs was recommended for this patient. After consultation at a referral facility, it was determined that surgery was not a feasible option, and chemotherapy was recommended. Due to the renal insufficiency present, the patient could not be treated with piroxicam.

Sonographic Differential Diagnosis

Bladder mass which is potentially resectable, but stent placement may be necessary. Pelvic dilation and pyelonephritis of the left kidney.

Image Interpretation

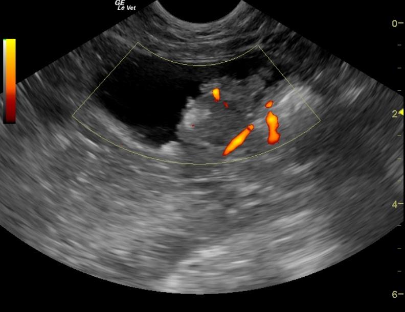
The urinary bladder contained a 3.3 x 1.34 cm mineralizing mass located at the dorsolateral aspect of the bladder and encroaching on the right ureteral papilla. Slight renal pelvic dilation was noted in the left kidney with moderate dystrophy and fibrosis. The right kidney was severely fibrosed and measured 2.7 cm.

Outcome

Adriamycin treatment was discussed followed by a recheck ultrasound to determine effectiveness on tumor size. The owner, however, opted for supportive care only.

Video

Patient Information

Patient Name : Grubby C
Age : 13 Years
Gender : Male, Neutered
Species : Feline
Liz Wuz Here : Yes
Status : Complete
Code : 06_00025

Blood Chemistry

  • Amylase, High
  • Azotemia
  • CPK, High
  • Lipase, High
  • Total Protein, High

Clinical Signs

  • Hematuria

Urinalysi

  • Blood Present
  • Isosthenuria Present
  • Protein Present

Images

BladdermassLeftureteralpapillaRightureteralpapilla

Skip to content