Colonic mass in a 12 year old FS DSH

History

A 12 year old FS DSH cat was presented for straining while using bathroom when defecating, lethargy and decreased appetite. On abdominal radiographs feces obscured in the colon but no obstacle observed. A circular object was observed above colon. 

A 12 year old FS DSH cat was presented for straining while using bathroom when defecating, lethargy and decreased appetite. On abdominal radiographs feces obscured in the colon but no obstacle observed. A circular object was observed above colon. 

DX

Colonic mass

Sampling

FNA could be attempted if the sonographer is able to find an adequate window for sampling

Sonographic Differential Diagnosis

carcinoma, colonic lymphoma, granulomatous disease

Image Interpretation

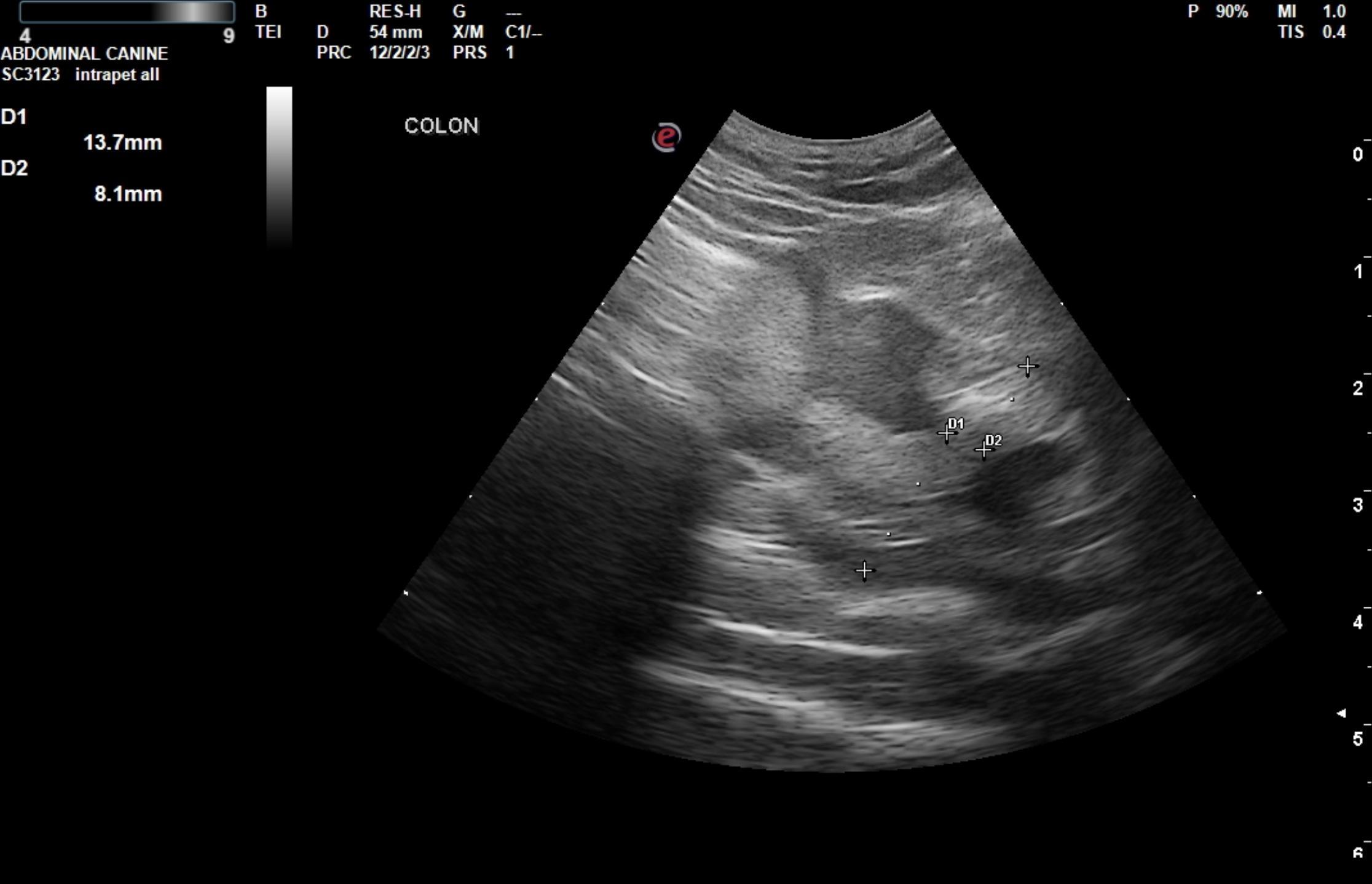
The colon in this patient revealed an approximately 2.0 x 4.0 cm concentric mass with an obstructive pattern. Hypoechoic, ill defined colonic wall was noted. Stool was obstipated from the level of the deep pelvis proximally to the ileocecal junction. The colonic mass appears to be in the distal colon in the pelvic inlet. The mass extended into the colorectal region.

Outcome

From the perineal approach the colonic mass appears to be reach the colorectum. It does not appear overtly resectable without splitting the pelvis. However, the distal portion of the colonic mass appears to be involved in the colorectum itself. Surgical consultation could be considered. There was no overt evidence of metastatic disease noted. Three view chest radiographs would be warranted. This is likely carcinoma with a minor potential for colonic lymphoma or very mild potential for granulomatous disease. FNA could be attempted if the sonographer is able to find an adequate window for sampling

Video

Patient Information

Patient Name : Angie Trinh
Age : 12 Years
Gender : Female, Spayed
Species : Feline
Status : Complete
Code : 04_00555

Clinical Signs

  • Anorexia
  • Lethargy
  • Obstipation

Exam Finding

  • Stool Impaction

Images

a5a1

Skip to content