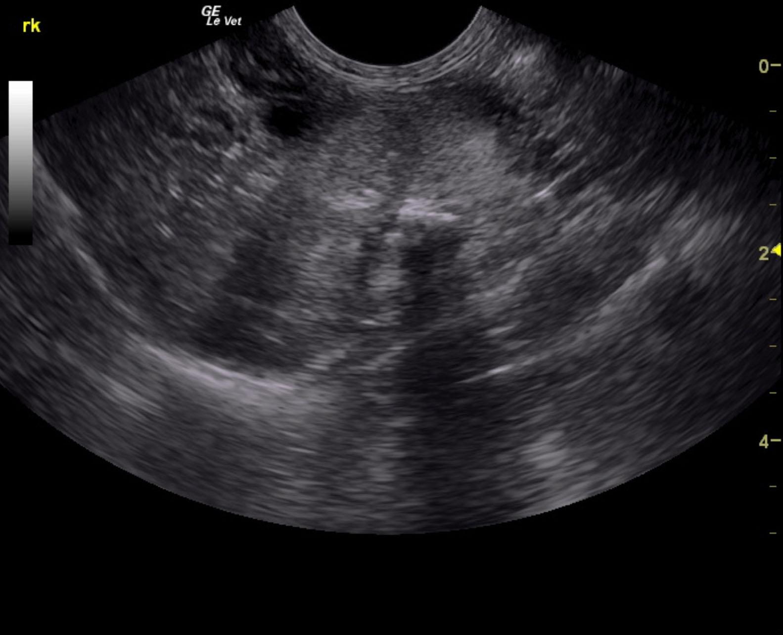
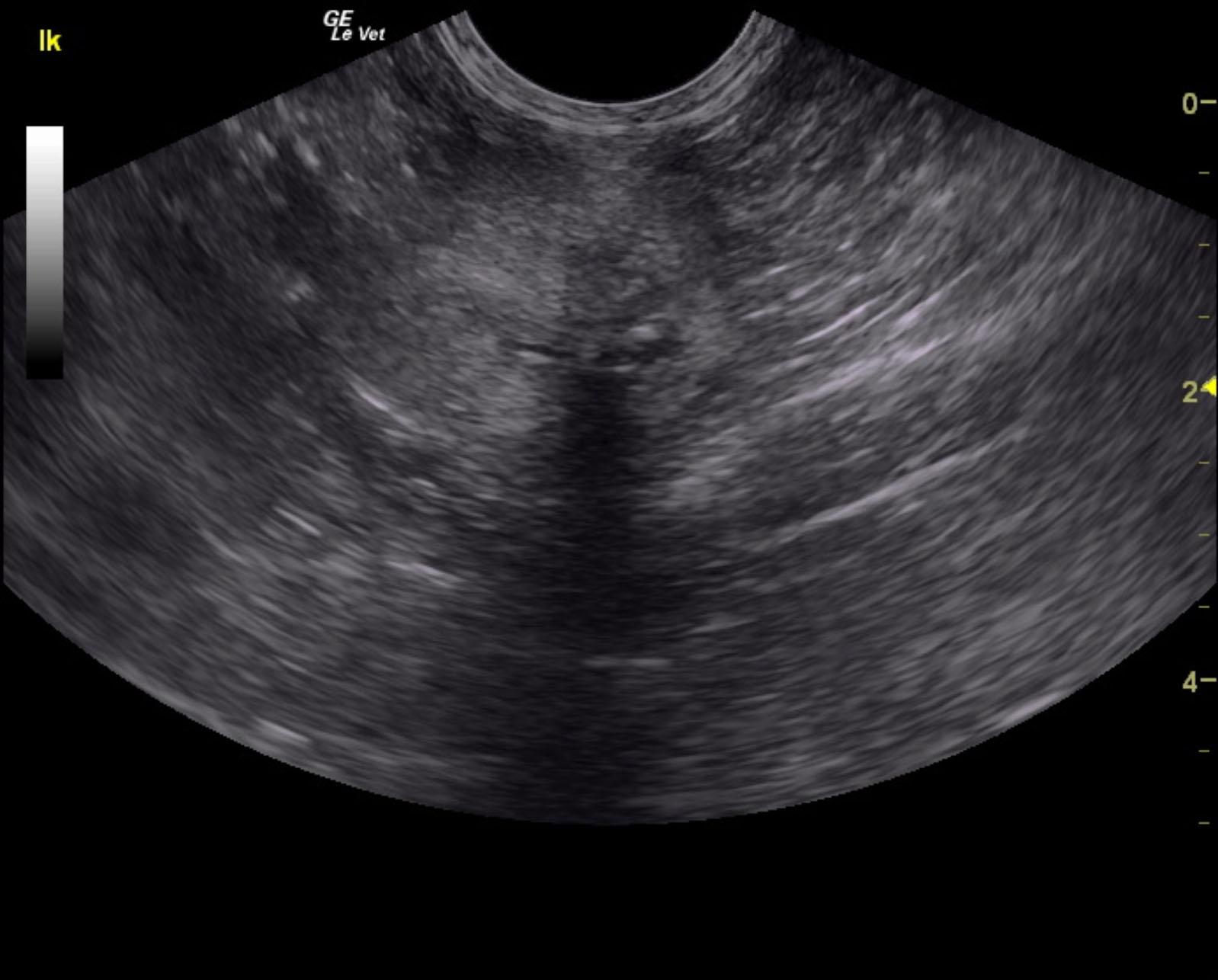
A 10-year-old neutered male Maine Coon cat with a history of lethargy and vomiting was presented for evaluation of renal failure. Cardiac murmur was present on physical examination. On urinalysis, inappropriate SG (1.014) and hematuria were evident. Blood work showed anemia, azotemia, hyperphosphatemia, and elevated liver enzyme activity. After 24 hours of fluid therapy, there was some improvement in renal values and general patient attitude.
A 10-year-old neutered male Maine Coon cat with a history of lethargy and vomiting was presented for evaluation of renal failure. Cardiac murmur was present on physical examination. On urinalysis, inappropriate SG (1.014) and hematuria were evident. Blood work showed anemia, azotemia, hyperphosphatemia, and elevated liver enzyme activity. After 24 hours of fluid therapy, there was some improvement in renal values and general patient attitude.


