A 10-year-old MN Labrador was presented for evaluation of weight loss, weakness, and inability to move around. Elevated ALP activity was present on serum biochemistry.
A 10-year-old MN Labrador was presented for evaluation of weight loss, weakness, and inability to move around. Elevated ALP activity was present on serum biochemistry.
Liver disease – neoplasia, chronic activity hepatitis, infectious (viral/bacterial), fibrosis, granulomatous disease. Weakness and weight loss – chronic kidney disease, neoplasia, generalized DJD, cardiac (tamponade, dilated cardiomyopathy).
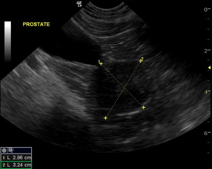
Enlarged prostate. Suspect carcinoma possible prostatitis
The prostate in this patient was 3.24 x 2.9 cm. It was very hypoechoic to the surrounding fat. Given the neutered male status it is strongly suggestive of prostatic neoplasia. However, this does appear uniform. Chronic prostatitis is a possibility, but less likely. Focal areas of mineralization were noted.