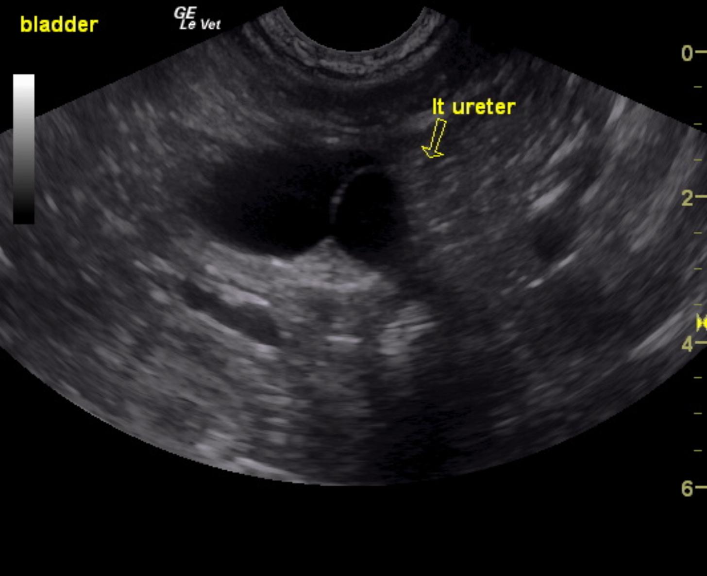
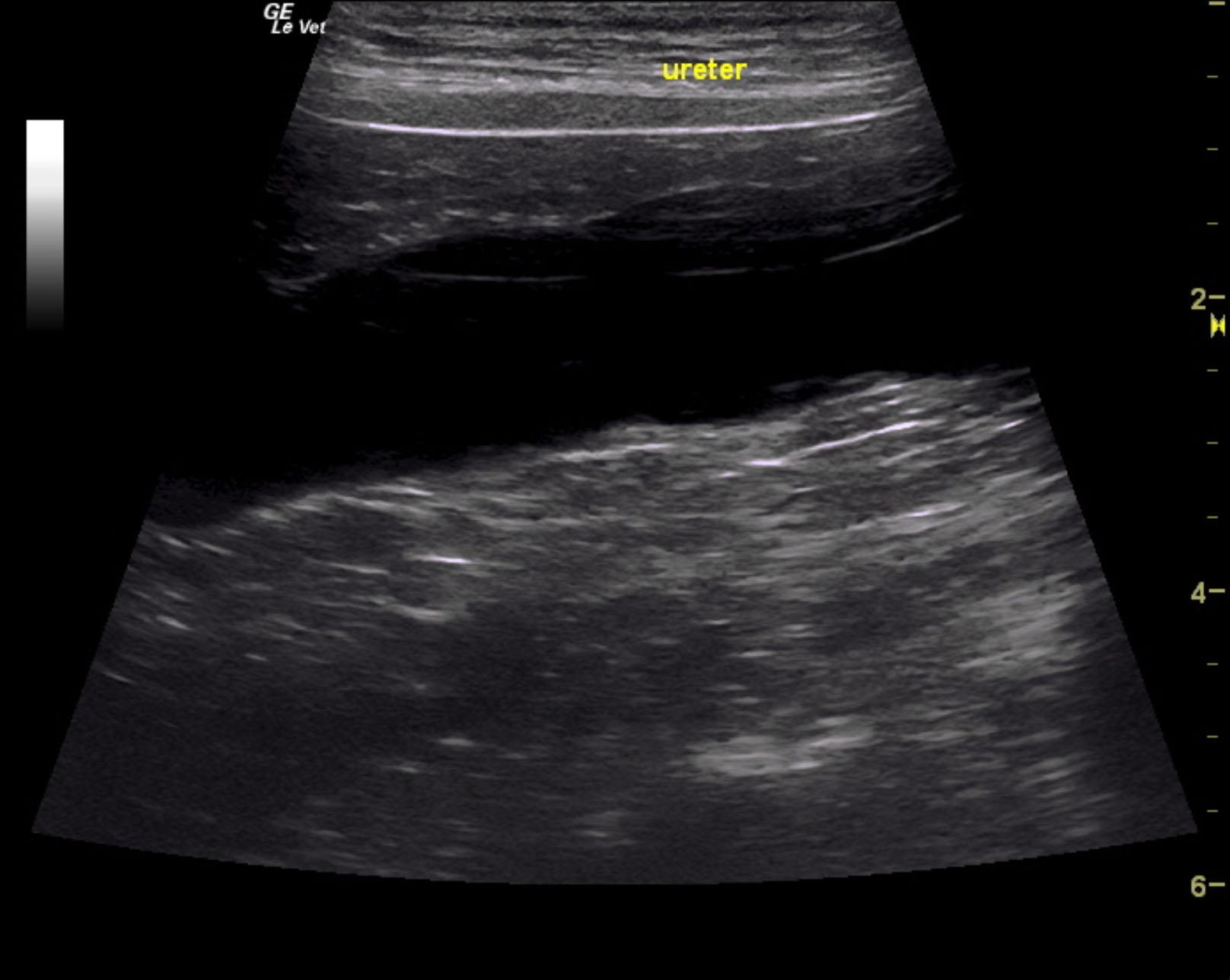
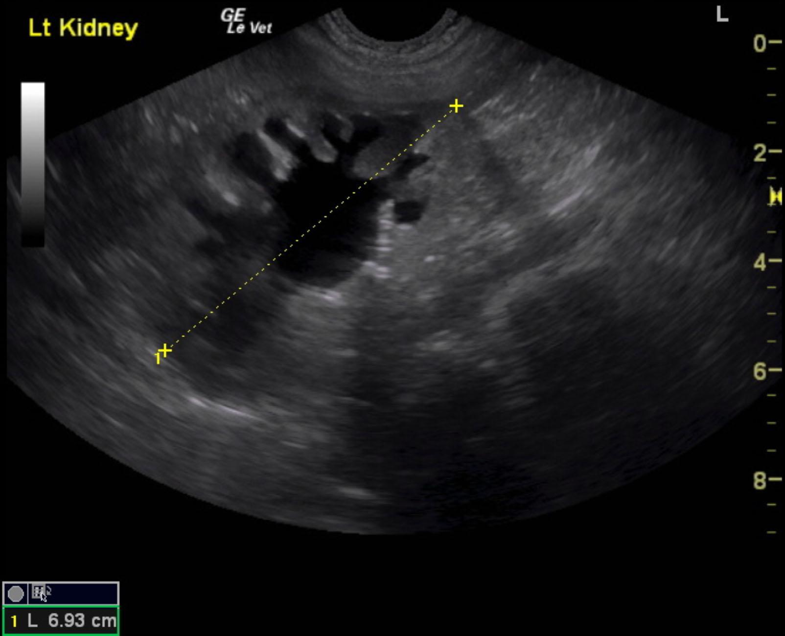
A 1-year-old neutered male Labrador retriever dog was presented for evaluation of urinary incontinence. Urine specific gravity was 1.039, and bloodwork was within reference range.
A 1-year-old neutered male Labrador retriever dog was presented for evaluation of urinary incontinence. Urine specific gravity was 1.039, and bloodwork was within reference range.



