A 15 year old spayed female DMH cat was presented for progressive disease over a 6-8 month period, characterized by poor coat quality, decreased mobility, reduced activity, and pruritic skin lesions that have not responded to antibiotics and use of an E-collar. Abnormalities on physical examination were alopecia, hyperpigmentation, and thinning of the skin of the ventrum, and a non-healing, plaque-like, superficial skin lesion on the cranial aspect of the left stifle and accessory pad of the left carpus. Skin biopsies were scheduled.
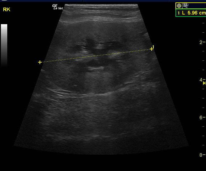
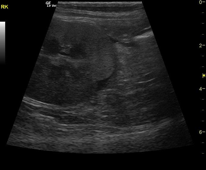
A 15 year old spayed female DMH cat was presented for progressive disease over a 6-8 month period, characterized by poor coat quality, decreased mobility, reduced activity, and pruritic skin lesions that have not responded to antibiotics and use of an E-collar. Abnormalities on physical examination were alopecia, hyperpigmentation, and thinning of the skin of the ventrum, and a non-healing, plaque-like, superficial skin lesion on the cranial aspect of the left stifle and accessory pad of the left carpus. Skin biopsies were scheduled. On urinalysis an inappropriate SG and proteinuria was present with a urine protein: creatinine ratio of 0.3. Abnormalities on serum biochemistry included hypercalcemia and hyperproteinemia. Radiographs showed arthritis of elbow, LS junction, and hips, as well as a mass in the region of the left kidney.





