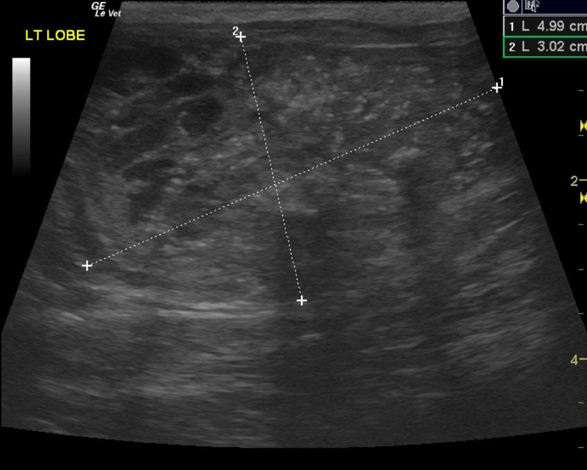
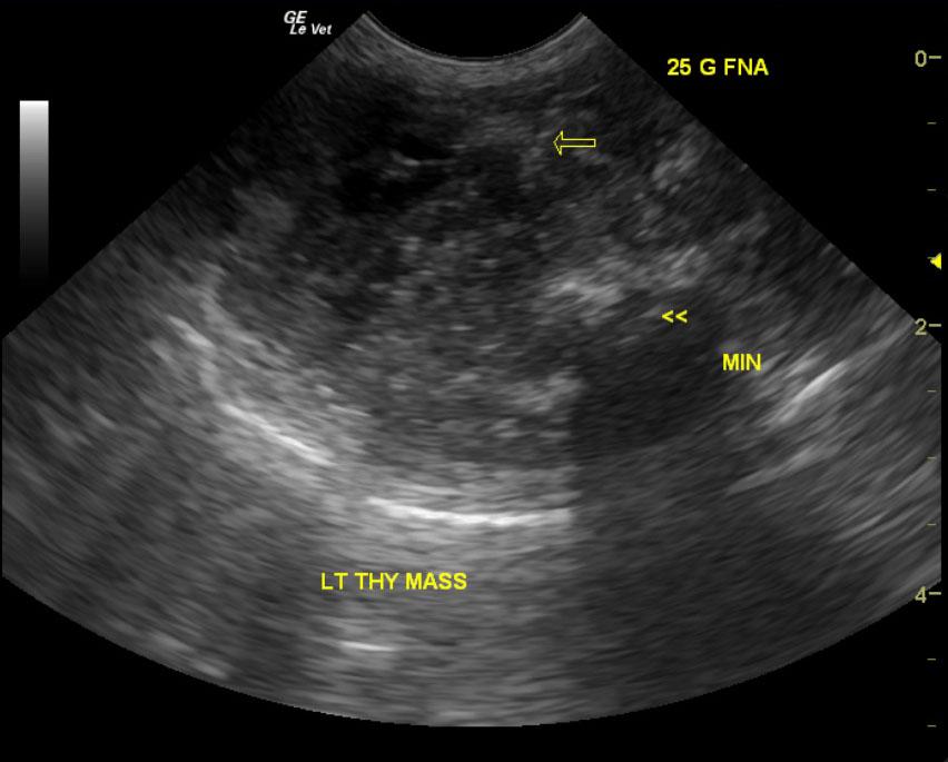
A 9-year-old male neutered Plotthound dog was presented for evaluation of polyuria, polydypsia, and occasional loose stool. Abnormalities on CBC and serum biochemistry included mild anemia, mild leukopenia, mildly increased ionized calcium, and mild azotemia. T4 was within reference range at 4.4.
A 9-year-old male neutered Plotthound dog was presented for evaluation of polyuria, polydypsia, and occasional loose stool. Abnormalities on CBC and serum biochemistry included mild anemia, mild leukopenia, mildly increased ionized calcium, and mild azotemia. T4 was within reference range at 4.4.




