Pancreatic lymphoma confirmed with cytology in a 10 year old MN DSH cat

History

A 10-year-old MN DSH was presented for evaluation of decreased appetite and lethargy. Abdominal effusion was present on physical examination. Serum biochemistry showed azotemia.

A 10-year-old MN DSH was presented for evaluation of decreased appetite and lethargy. Abdominal effusion was present on physical examination. Serum biochemistry showed azotemia.

Clinical Differential Diagnosis

Ascites – modified transudate (neoplasia, cardiac disease, portal hypertension), exudate (bacterial peritonitis, FIP, blood, urine, bile), blood

DX

Pancreatic lymphoma

Sampling

FNA revealed cellularity is high consisting predominantly of large immature lymphoid cells admixed with a few small lymphocytes and blood. The cells have a small to moderate amount of basophilic cytoplasm often with small discrete vacuoles. The nuclei are round with nucleoli. Microscopic Findings: Lymphoma. The predominance of lymphoblasts is consistent with lymphoma.

Sonographic Differential Diagnosis

Pancreatic mass, suspect carcinoma, carcinomatosis. I recommend cytology assessment +/ cytospin of the free fluid and culture if a definitive diagnosis is not obtained. There was no overt evidence of organ metastasis noted; however, omental seeding and metastasis is suspected.

Image Interpretation

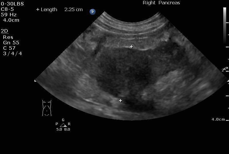
The right pancreatic base revealed a 2.25 x 3.0 cm mass with irregular, nodular, ill defined surrounding changes throughout the omentum. Ultrasound-guided FNA was performed without complication. The mass appeared to be adhered to the duodenum. 

A large amount of mildly echogenic free fluid was noted. 

Video

Patient Information

Patient Name : Deuce Quattrocchi/all creatures AH/Seth Mitchell
Age : 10 Years
Gender : Male, Neutered
Species : Feline
Liz Wuz Here : Yes
Code : 05_00268

Blood Chemistry

  • Azotemia

Clinical Signs

  • Anorexia
  • Lethargy

Exam Finding

  • Ascites

Images

060616_dq_allcreatures_quattrocchi_20160606_151936_0017060616_dq_allcreatures_quattrocchi_20160606_151936_0012

Skip to content