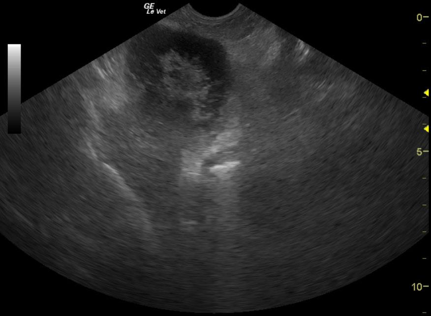
A 12-year-old NM Maltese with a history of pituitary dependent hyperadrenocorticism that was being treated with Lysodren was presented for vomiting, anorexia and not doing well over a 2-day period. Urinalysis showed an inappropriate SG (1.018), proteinuria, and bilirubinuria. Abnormalities on CBC and serum biochemistry were leukocytosis, severely elevated ALT and severely elevated ALP activity, hypoalbuminemia, bilirubinemia, and azotemia. The patient was treated with antibiotics, to which there was some response.
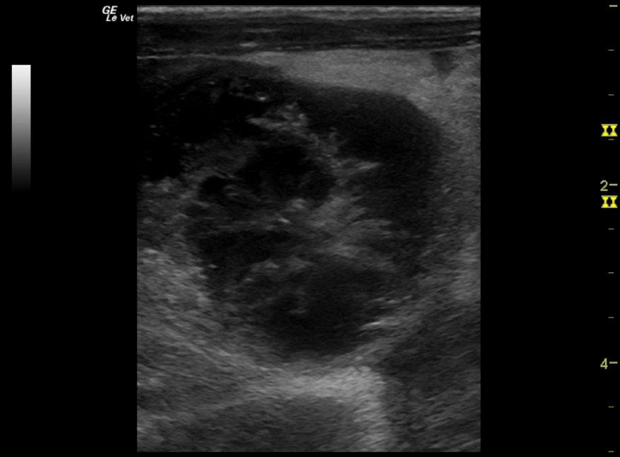
A 12-year-old NM Maltese with a history of pituitary dependent hyperadrenocorticism that was being treated with Lysodren was presented for vomiting, anorexia and not doing well over a 2-day period. Urinalysis showed an inappropriate SG (1.018), proteinuria, and bilirubinuria. Abnormalities on CBC and serum biochemistry were leukocytosis, severely elevated ALT and severely elevated ALP activity, hypoalbuminemia, bilirubinemia, and azotemia. The patient was treated with antibiotics, to which there was some response.


