Perirenal cyst and liver mass in a 17 year old MN DSH cat

History

A 17-year-old neutered male DSH cat was presented to the emergency clinic with open-mouth breathing suspected to be secondary to stress/pain as the patient improved on analgesics. On a prior physical examination, an abdominal mass had been palpated.

A 17-year-old neutered male DSH cat was presented to the emergency clinic with open-mouth breathing suspected to be secondary to stress/pain as the patient improved on analgesics. On a prior physical examination, an abdominal mass had been palpated.

Comments

Along with the diagnostic sampling that was conducted via exploratory celiotomy, urine culture and sensitivity, broad-spectrum antibiotics and a 72-hour fluid therapy protocol was recommended in this patient due to the pyelectasia suggestive of possible chronic infection. 

Clinical Differential Diagnosis

Abdominal mass – neoplasia, granuloma, abscess or cyst of internal organ, hydronephrosis.

DX

Perirenal cyst

Sampling

Exploratory celiotomy with right perirenal cyst excision, renopexy and liver biopsy was performed, but no histological results are available at this time.

Sonographic Differential Diagnosis

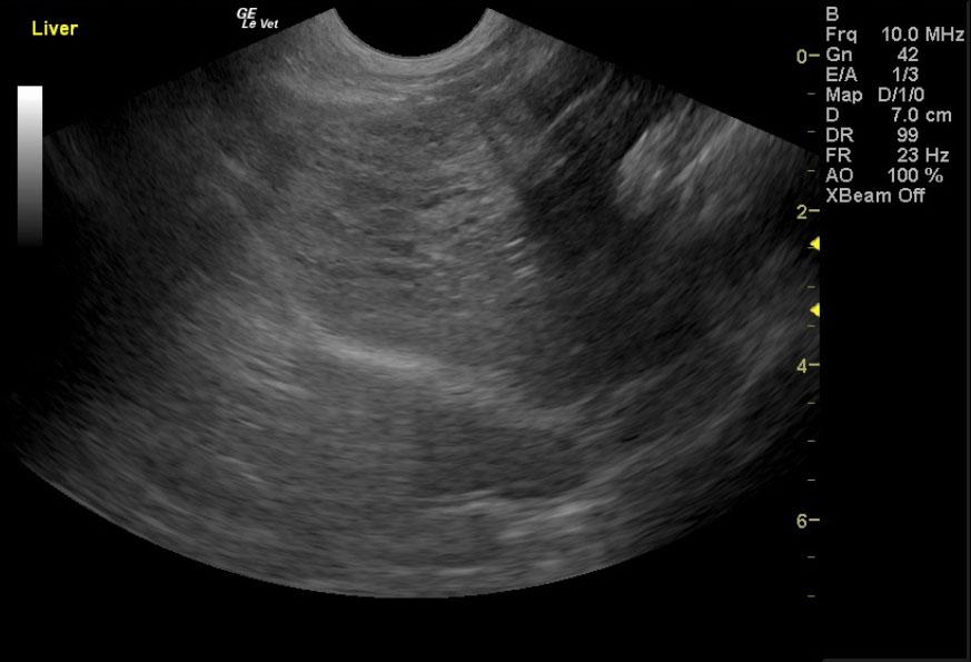
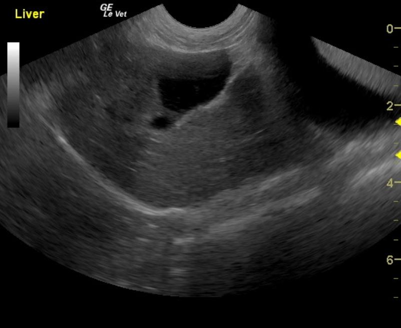
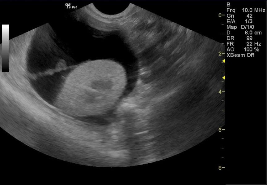
Deep right liver mass impinging upon the diaphragm and vena cava dorsally; the mass is likely not resectable. This is probably a cystadenoma, but adenocarcinoma is possible. A right perirenal cyst with a concurrent renal cortical cyst is noted in the right kidney. There is significant renal dystrophy of both kidneys, with pyelectasia or potential concurrent urinary tract infection.

Image Interpretation

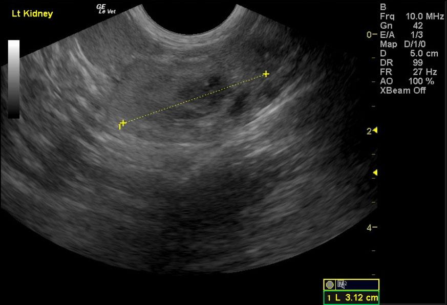
The liver contained a macrocystic mass with heterogenous parenchymal changes that occupied the deep right liver with impingement upon the diaphragm and vena cava. The right kidney in this patient was surrounded by a large perirenal cyst formation that measured 8.44 cm. The kidney itself demonstrated a chronic interstitial nephrosis pattern with a cortical cyst and measured 5.4 cm. Post drainage the right kidney measured 5.1 cm with pyelectasia and loss of corticomedullary definition. The left kidney displayed moderate dystrophic changes with collapsed architecture, chronic interstitial nephrosis pattern, concurrent renal cyst, and measured 3.12 cm

Outcome

Unfortunately, no further outcome was provided.

Video

Patient Information

Patient Name : Pepper K
Age : 17 Years
Gender : Male, Neutered
Species : Feline
Book : yes
Liz Wuz Here : Yes
Status : Complete
Code : 06_00086

Clinical Signs

  • Open mouth breathing

Exam Finding

  • Palpable mass

Images

Kartachak_03142012072350Kartachak3_03142012072432Kartachak4_03142012072457Kartachaka_03142012072322Kartachakb_03142012072948

Skip to content