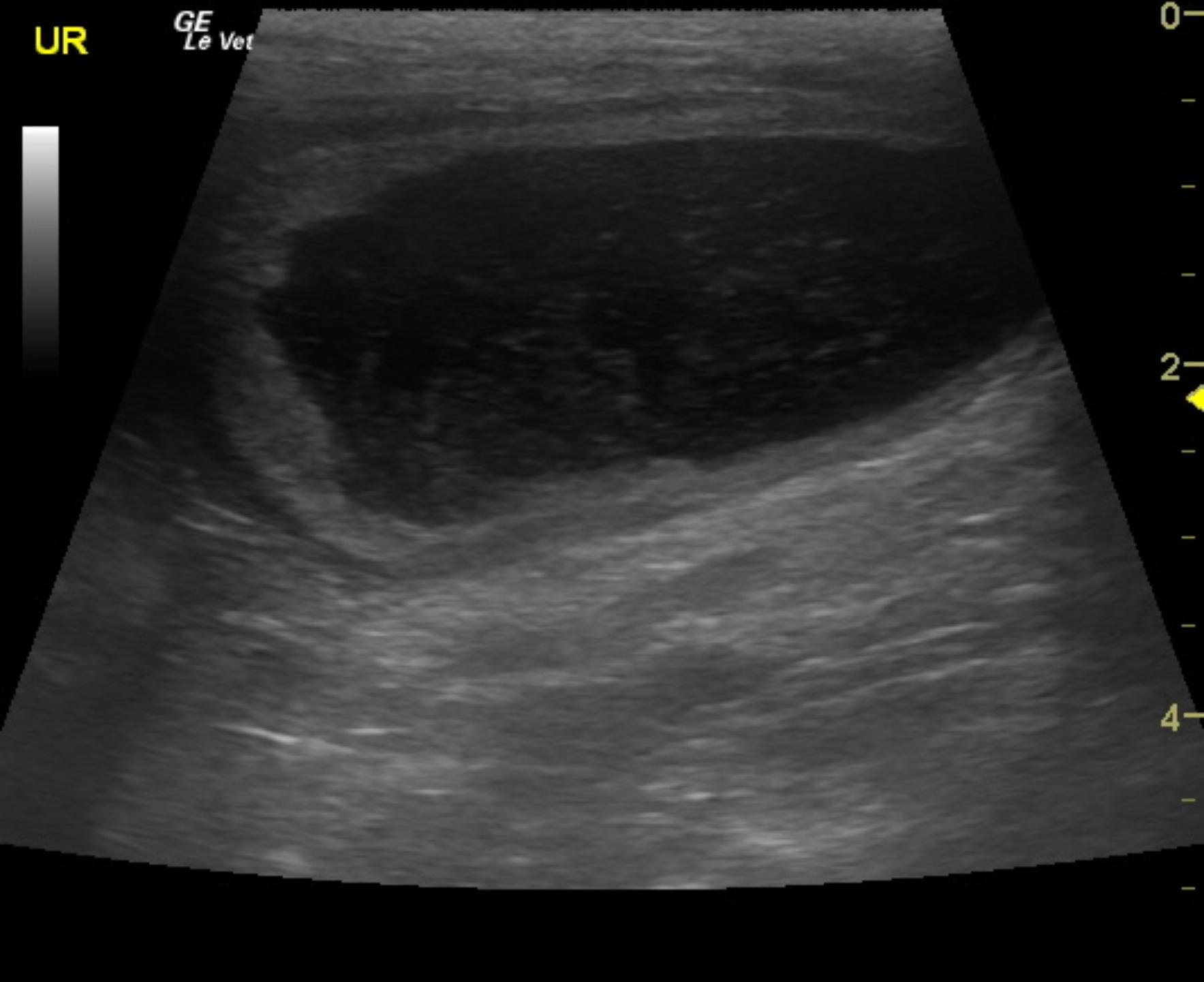
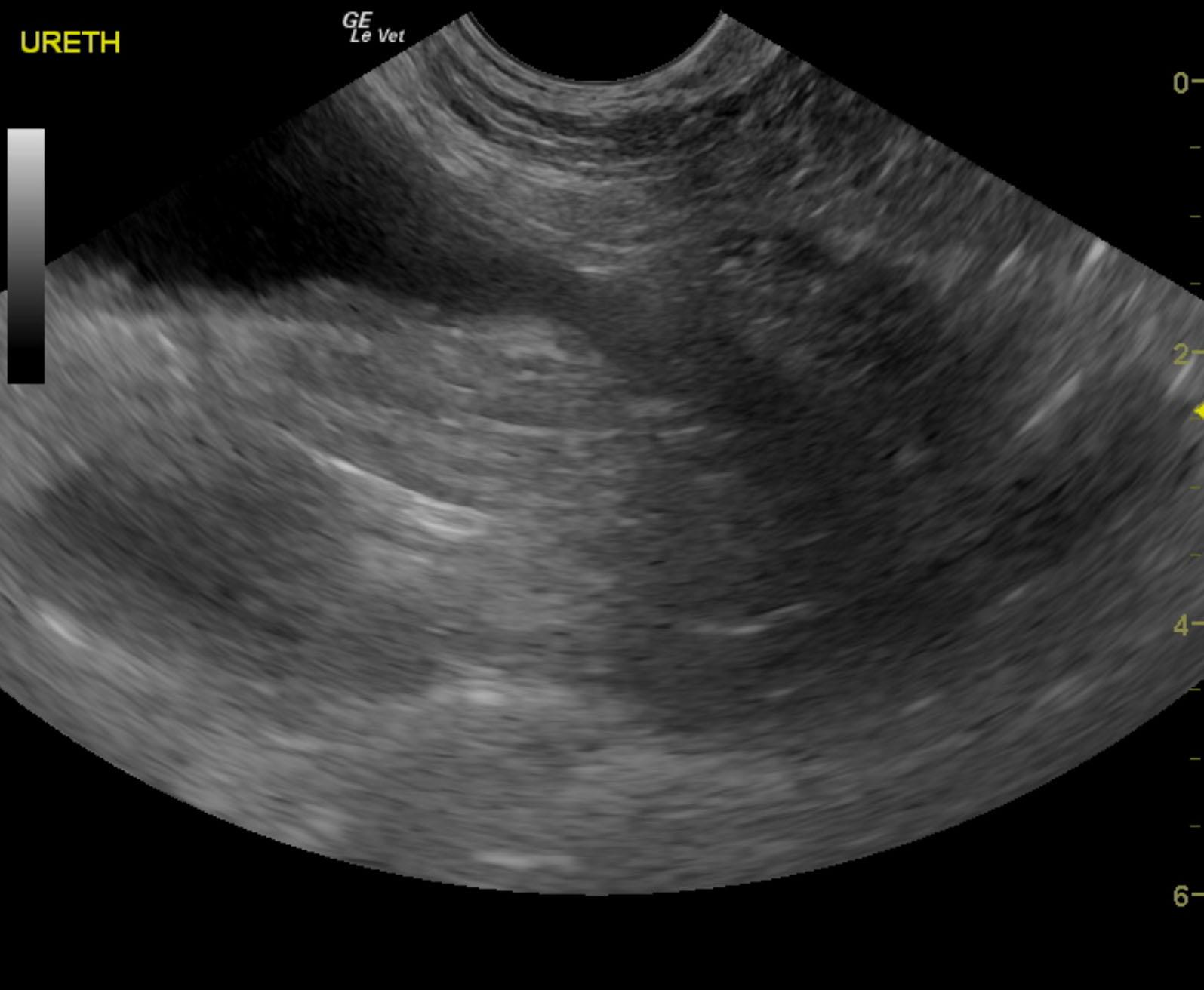
A 9-year-old spayed female Welsh Corgi dog was presented for evaluation for recurrent hematuria. On urinalysis, inappropriate SG (1.020) and proteinuria were present. Urine culture revealed Acinetobacter, Pseudomonas, and Enterobacter; the latter two were antibiotic resistant strains.
A 9-year-old spayed female Welsh Corgi dog was presented for evaluation for recurrent hematuria. On urinalysis, inappropriate SG (1.020) and proteinuria were present. Urine culture revealed Acinetobacter, Pseudomonas, and Enterobacter; the latter two were antibiotic resistant strains.



