Pyometra in a 9 year old FI Pitbull Terrier dog with hemoabdomen

History

A 9-year-old FI Pit Bull Terrier was presented for evaluation of ataxia. On physical examination, ataxia and pale mucous membranes were present. Whipworms were evident on fecal analysis. Abnormalities on CBC and blood chemistry included marked regenerative anemia, neutrophilia, band neutrophilia, monocytosis, thrombocytopenia, hyperproteinemia, hypoalbuminemia, hyperglobulinemia, and hyperbilirubinemia. Coagulation profile was within normal limits and T-4 low. Hospitalization was recommended but declined by the owner.

A 9-year-old FI Pit Bull Terrier was presented for evaluation of ataxia. On physical examination, ataxia and pale mucous membranes were present. Whipworms were evident on fecal analysis. Abnormalities on CBC and blood chemistry included marked regenerative anemia, neutrophilia, band neutrophilia, monocytosis, thrombocytopenia, hyperproteinemia, hypoalbuminemia, hyperglobulinemia, and hyperbilirubinemia. Coagulation profile was within normal limits and T-4 low. Hospitalization was recommended but declined by the owner. The patient was treated with Baytril, Depo-medrol, Vitamin B12, subcutaneous fluids, and discharged with Orbax, prednisone, Pet-Tinic, and Panacur. The following day the owner reported the patient having orange colored urine. On recheck examination mild icterus, pale mucous membranes, and lethargy was present. The patient was admitted for intravascular fluids, blood transfusion, and supportive care. 24 hours later the PCV was 18.

Comments

This is not a typical pyometra presentation as the severe anemia and modified transudate with hemorrhage would suggest concurrent infiltrative disease or obstructive lymphatic disease.

Clinical Differential Diagnosis

Acute blood loss (splenic/hepatic neoplasia with rupture, thorax, GI tract), hemolysis (IMHA, infectious, toxins), splenic torsion.

DX

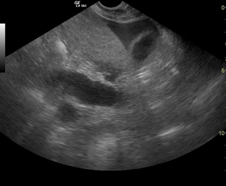
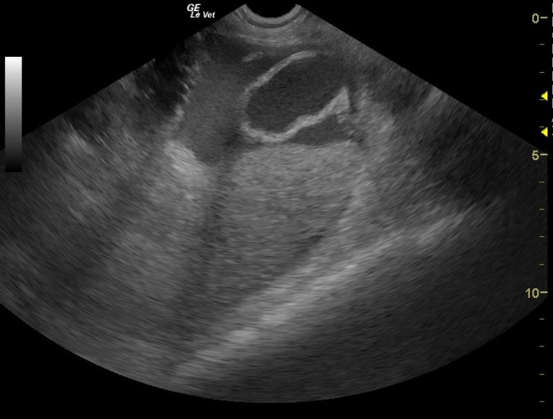
Pyometra. Undefined hemorrhagic free fluid in the abdomen.

Sampling

None taken.

Sonographic Differential Diagnosis

Pyometra. Undefined hemorrhagic free fluid in the abdomen. Potential underlying immune mediated disease or neoplasia given the anemia.

Image Interpretation

The abdomen in this patient presented a moderate amount of mildly echogenic free fluid, which was found to be hemorrhagic modified transudate on abdominocentesis. The uterus was dilated and irregular. This is consistent with pyometra with some omental reactivity. Rupture could not be ruled out given the hemorrhagic modified transudate free fluid.

Outcome

After patient stabilization at a 24 hour critical care facility, stabilization and fna of spleen and liver were recommended in this case to rule out occult neoplasia. However, a very guarded prognosis was given, and the owner opted for euthanasia owing to financial concerns.

Video

Patient Information

Patient Name : Hannah C
Age : 9 Years
Gender : Female, Intact
Species : Canine
Liz Wuz Here : Yes
Status : Complete
Code : 09_00014

Blood Chemistry

  • Albumin, Low
  • Globulin, Low
  • Hypothyroidism
  • Total Bilirubin, High
  • Total Protein, High

CBC

  • Bands
  • Monocytes, High
  • Neutrophils, High
  • Platelet Count, Low

Clinical Signs

  • Ataxia

Exam Finding

  • Ataxia
  • Icterus
  • Pale Mucous Membranes

Special Testing

  • Fecal-whipworms

Images

HemmohagicfluidwithSpleenPyometra

Skip to content