Renal lymphoma in a 6 year old FS Labrador Retriever with gastrointestinal clinical signs

History

A 6-year-old female spayed Labrador Retriever dog was presented with upper gastrointestinal signs of 2 days’ duration. The patient was treated with antibiotics, gastroprotectants, and anti-emetics. Upper gastrointestinal signs continued despite the treatments, and the dog developed excessive panting and shaking. Blood chemistry revealed azotemia, hyperalbuminemia, and hyperphosphatemia. CBC revealed elevated hematocrit and elevated hemoglobin. Abdominal radiographs did not reveal any abnormalities.

A 6-year-old female spayed Labrador Retriever dog was presented with upper gastrointestinal signs of 2 days’ duration. The patient was treated with antibiotics, gastroprotectants, and anti-emetics. Upper gastrointestinal signs continued despite the treatments, and the dog developed excessive panting and shaking. Blood chemistry revealed azotemia, hyperalbuminemia, and hyperphosphatemia. CBC revealed elevated hematocrit and elevated hemoglobin. Abdominal radiographs did not reveal any abnormalities. The dog was treated with IV fluids, however her azotemia continued to worsen despite treatment.

Clinical Differential Diagnosis

Azotemia – pre-renal (hemoconcentration), renal, post-renal, hypoadrenocorticism, neoplasia (renal lymphoma, hemangiosarcoma, adenosarcoma).

DX

Renal B-cell lymphoma

Sampling

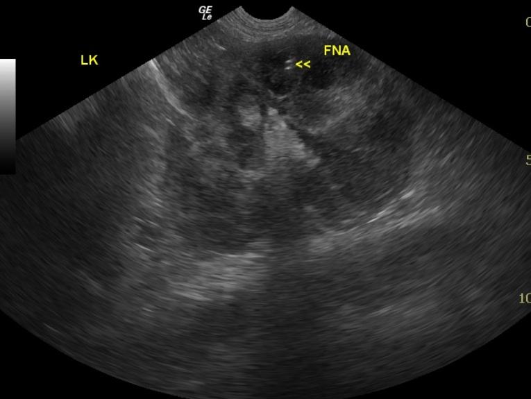
Ultrasound-guided fine needle aspirates of the left kidney were performed. Cytology revealed malignant lymphoma. The cell morphology suggested intermediate to high grade B-cell lymphoma.

Sonographic Differential Diagnosis

Likely bilateral renal neoplasia such as lymphoma or other round cell disease.

Image Interpretation

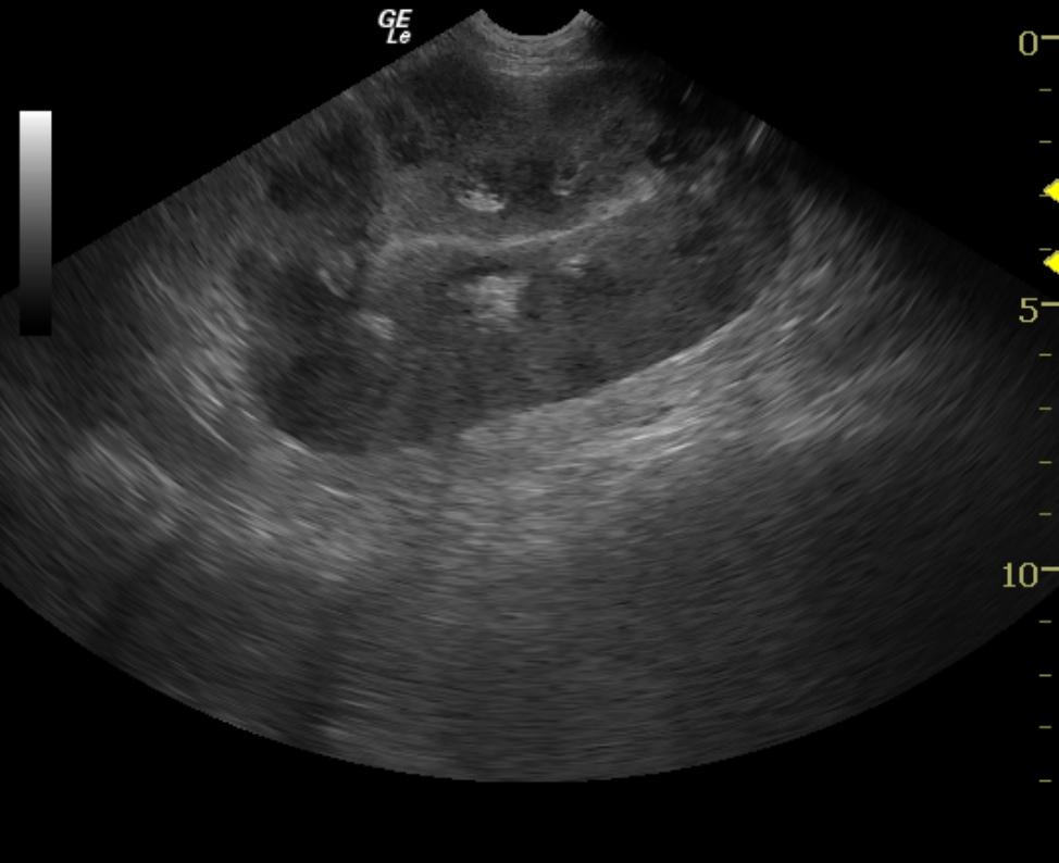
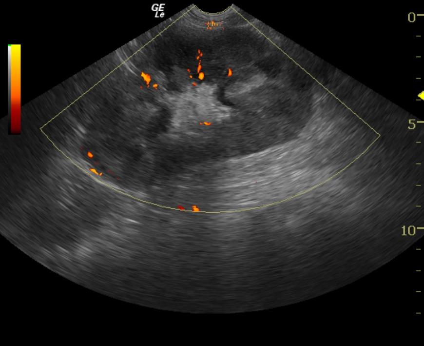
The kidneys revealed severe renomegaly (8 cm each) with multiple target type hypoechoic lesions. Round cell neoplasia is suspected. No evidence of acute or chronic inflammatory or infarctual changes were noted.

Outcome

The patient was euthanized for humane reasons.

Video

Patient Information

Patient Name : Orion J
Age : 6 Years
Gender : Female, Spayed
Species : Canine
Book : yes
Liz Wuz Here : Yes
Status : Complete
Code : 06_00046

Blood Chemistry

  • Albumin, High
  • Azotemia
  • Phosphorus, High

CBC

  • Hemoglobin, High

Clinical Signs

  • Panting
  • Upper GI signs

Images

JohnstonKidneyPowwerofRenalLymphomaRenalFNA

Skip to content