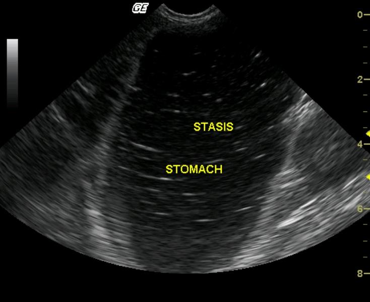
This 4-year-old MN Himalayan cat was presented for 3 days of persistent vomiting, lethargy, and anorexia. The physical exam revealed moderate dehydration and tense abdomen; the cat would not allow deep palpation. The CBC revealed moderate leukocytosis with a left shift. Blood chemistry demonstrated moderate azotemia, mild hyperglycemia, mild hyponatremia and hypochloremia. The urine was concentrated with minor proteinuria.
This 4-year-old MN Himalayan cat was presented for 3 days of persistent vomiting, lethargy, and anorexia. The physical exam revealed moderate dehydration and tense abdomen; the cat would not allow deep palpation. The CBC revealed moderate leukocytosis with a left shift. Blood chemistry demonstrated moderate azotemia, mild hyperglycemia, mild hyponatremia and hypochloremia. The urine was concentrated with minor proteinuria.




