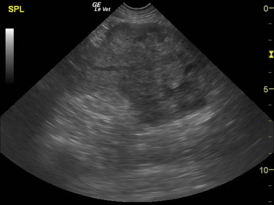
An 11 year old, MN, Rhodesian Ridgeback dog was presented for nonspecific symptoms (ADR). Abdominal mass was palpated. The dog had a subnormal temp (98.8) and pale mucus membranes. Altered CBC/Chem/UA values included leukocytosis, mild azotemia, and mild hypoglobulinemia. Radiographs demonstrated a mass effect in the right abdomen.
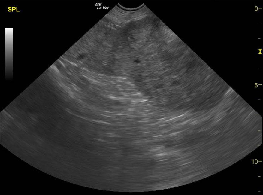
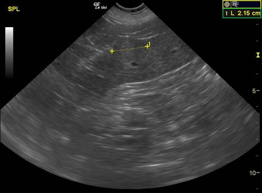
An 11 year old, MN, Rhodesian Ridgeback dog was presented for nonspecific symptoms (ADR). Abdominal mass was palpated. The dog had a subnormal temp (98.8) and pale mucus membranes. Altered CBC/Chem/UA values included leukocytosis, mild azotemia, and mild hypoglobulinemia. Radiographs demonstrated a mass effect in the right abdomen.



