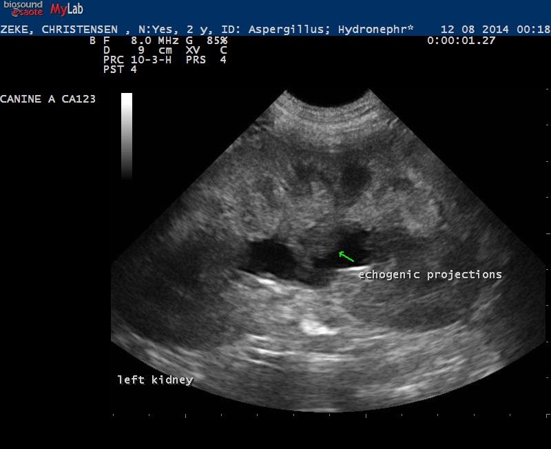
A 2-year-old MN German Shepherd was presented for anorexia, lethargy, exhibiting acute renal failure and the following labs: Azotemia (BUN >130; Creat 9.9), USG=1.012, Hyperblilrubinemia, and Leukocytosis (52,000).
A 2-year-old MN German Shepherd was presented for anorexia, lethargy, exhibiting acute renal failure and the following labs: Azotemia (BUN >130; Creat 9.9), USG=1.012, Hyperblilrubinemia, and Leukocytosis (52,000).


