-
Splenic Lesion

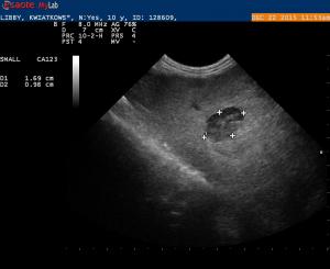
Libby is a 10 year old Cavalier King Charles Spaniel that was in for dental work today. I often place the probe on the abdomen just for practice. While I was taking a quick look at Libby- I noticed a cystic like lesion on the head of the spleen. I would like some feedback- should…
-
Splenic Lesion

Libby is a 10 year old Cavalier King Charles Spaniel that was in for dental work today. I often place the probe on the abdomen just for practice. While I was taking a quick look at Libby- I noticed a cystic like lesion on the head of the spleen. I would like some feedback- should…
-
Suspect PLE in 10YO Heeler X with sonographically normal intestines

10YO Heeler X FS wt =30# Chronic diarrhea (suspected small intestinal) since at least January 2015. Weight loss of 4lbs in that time. Pet is also hypoalbuminemic. Sonographically normal liver, adrenals and kidneys. CBC-WNL, U/A: NSFs, Chem Panel- All WNL except: Albumin 2.2 (2.7-4.4) and Magnesium 1.4 (1.5-2.5) Pet has been eating and…
-
Splenic nodule

I was doing a routine scan and came accross this splenic nodule. My questions: 1. This is a nodule? 2. Would you be concerned enough to aspirate this nodule right away or wait and rescan in 30 days?
